ホワイトニング

ホワイトニング

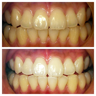
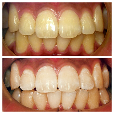
スーパーポリリン酸ホワイトニングを開始しました!驚きの白さを体感して下さい

1回でも白くなりますが、効果の持続と安定のために3回照射を基本としています。

安心・安全な材料で歯の表面を傷つけず、ポリリン酸でコーティングしますので歯がツルツル。虫歯予防効果もあります。

詳しくは受付でお聞きください。

ホワイトニング
ホワイトニング例1 ホワイトニング例2 ホワイトニング例3 ホワイトニング例4